公司動態Dynamic Company
聯系我們
【新品單抗】SALL4(克隆號6E3)
瀏覽次數:2097 發布時間:2019-11-22
單克隆鼠抗人SALL4(克隆號:6E3)
Monoclonal Mouse Anti-Human SALL4
產品簡介 :SALL4 是一種新確定的鋅指轉錄因子,它通過調節OCT4來維持胚胎干細胞的多能性。SALL4是一種具有高度靈敏度和特異性的轉移性生殖細胞腫瘤標記物,可以應用于轉移性卵黃囊瘤的檢測。它在精原細胞瘤陽性(100%),無性細胞瘤陽性(100%),胚胎癌陽性(100%),卵黃囊瘤陽性(100%),畸胎瘤陽性(50% ),絨毛膜癌陽性(71%)。
克隆號:6E3
亞型:IgG1,kappa
修復條件:高pH熱修復
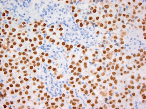
陽性部位:胞核
陽性對照:精原細胞瘤
染色圖:

管內生殖細胞瘤用SALL4(GT2190)染色,腫瘤細胞胞核著色,DAB顯色
訂貨信息
貨號 | 規格 | 備注 |
| GT219029 | 0.2ml | 濃縮液 |
| GT219002 | 2ml | 工作液 |
| GT219004 | 4ml | 工作液 |
| GT219007 | 7ml | 工作液 |
