公司動態Dynamic Company
聯系我們
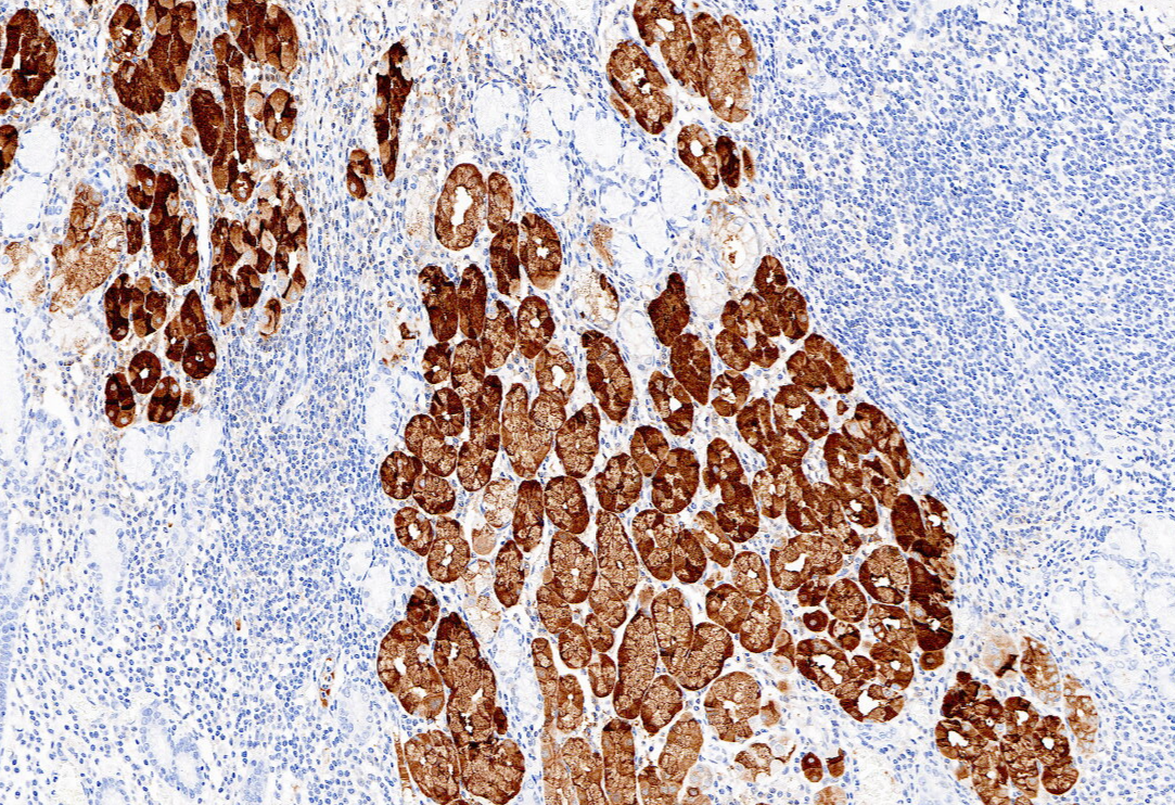
【新品單抗】Pepsinogen I
瀏覽次數:5018 發布時間:2022-02-10
產品簡介
胃蛋白酶原Ⅰ(PepsinogenⅠ)主要由胃底腺的主細胞和黏液頸細胞分泌,當胃黏膜發生萎縮時,主細胞數量減少,Pepsinogen Ⅰ分泌減少。因此,Pepsinogen Ⅰ可在一定程度上反映胃黏膜的分泌功能和病理狀態,在胃癌及慢性萎縮性胃炎的診斷中具有重要的臨床意義。
| 克隆號 | 定位 | 陽性對照 | 修復條件 |
| 7G3 | 細胞漿 | 胃 | 高PH熱修復 |

胃石蠟組織,用Pepsinogen I染色,DAB顯色
