公司動態Dynamic Company
聯系我們
【喜訊】基因科技2022年NordiQC免疫組化室間質評(RUN64 B33)再獲佳績
瀏覽次數:8122 發布時間:2022-04-27
NordiQC北歐質控中心
NordiQC 是一個獨立的非營利性專業科學組織。致力于組織開展免疫組化技術室間質控活動。通過安排免疫組化能力測試方案并提供推薦方案示例、組織控制和其他相關信息(包括表位描述和技術方案參數)來提高免疫組化質量并擴大其臨床應用。
在2022年的NordiQC室間測評活動中(RUN64/B33),采用我司全自動免疫組化染色平臺進行質控測評,再次獲得優異成績:

圖1.2022 RUN64 B33免疫組化測評活動,基因科技成績
ER
407個實驗室參與并獲得了89%(54%優異)的合格率,與B32中的水平相同。rmAb 克隆 SP1 和 EP1 以及單克隆克隆 6F11 都可用于提供優異結果。扁桃體可推薦為陽性和陰性組織對照。?

圖2. 基因科技免疫組化測評結果圖:ER(GT2056) 宮頸

圖3. 基因科技免疫組化測評結果圖:ER(GT2056) 乳腺癌
HER2
384個實驗室參加了測試,獲得了82%(54%優異)的通過率,與最近的B32輪評估幾乎相同,與前三次評估B29-B31中的水平相比略有降低。結果不足的主要原因是假陰性結果或信噪比差,影響了讀數。

圖4.基因科技免疫組化測評結果圖:HER2(GT2245) 乳腺癌1-2+

圖5.基因科技免疫組化測評結果圖:HER2(GT2245) 乳腺癌3+
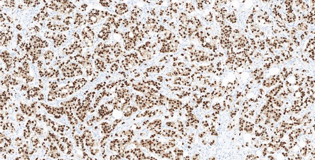
PR
404個實驗室參與并獲得了91%(61%優異)的通過率,與過去三輪水平相當。扁桃體和子宮頸的組合被發現是值得推薦的陰性和陽性組織對照。?

圖6.基因科技免疫組化測評結果圖:PR(GT2057) 宮頸

圖7.基因科技免疫組化測評結果圖:PR(GT2057) 乳腺癌
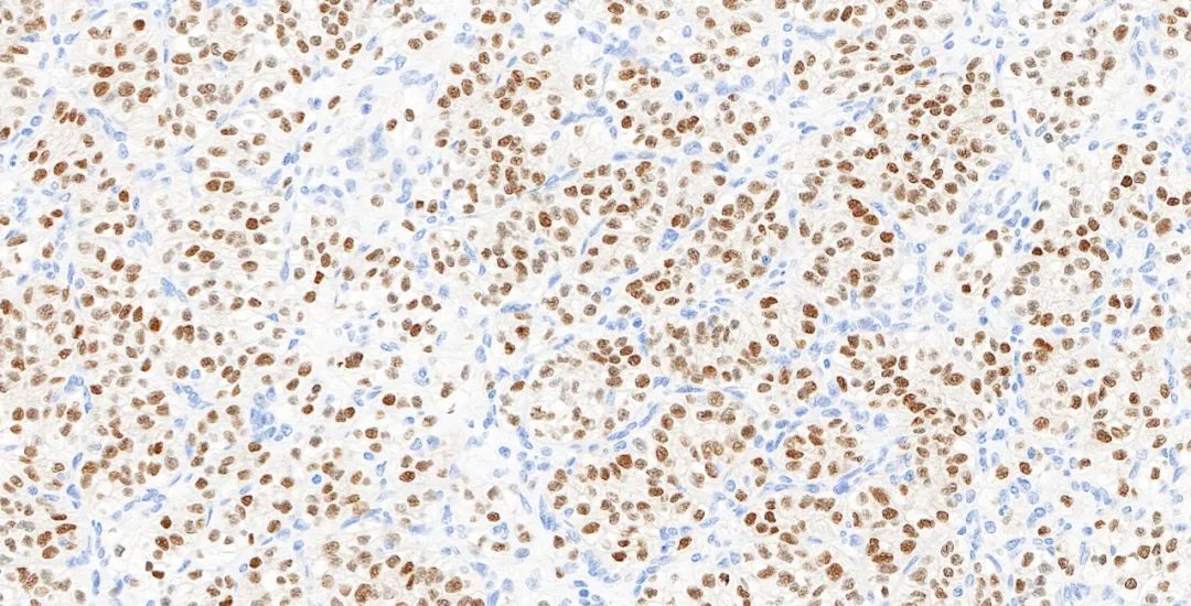
CR
339個實驗室參與,合格率為76%(獲得優異結果的比例為50%)。總共有11種不同的Abs/克隆可以提供優異結果。80%的參與者使用RTU。

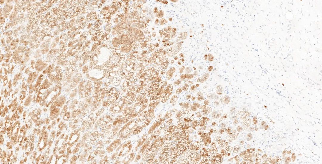
圖8.基因科技免疫組化測評結果圖:CR(GT2009) 間皮瘤

圖9.基因科技免疫組化測評結果圖:CR(GT2009) 腎上腺
CD56
364個實驗室參與,合格率為72%(獲得優異結果的比例為47%)。通過率比最近2021年的第61輪略有增加。與CD56的所有輪次的評估類似,關鍵是使用基本的高靈敏度實驗方案設置,最重要的是克隆的選擇。?

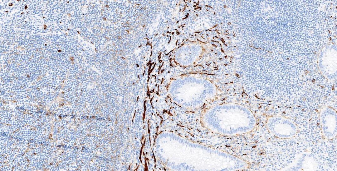
圖10.基因科技免疫組化測評結果圖:CD56(GT2005) 神經內分泌腫瘤

圖11.基因科技免疫組化測評結果圖:CD56(GT2005) 闌尾
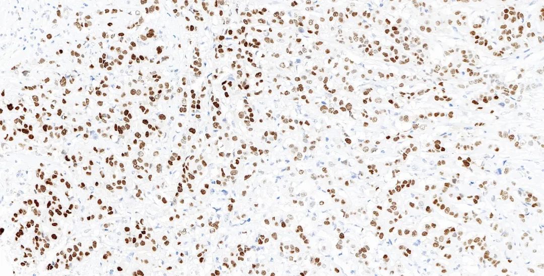
SATB2
173個實驗室參加了SATB2的第二次評估,獲得了75%(獲得優異結果的比例為42%)的通過率,比2020年第58期的58%有所提高。大多數參與者使用rmAb克隆EP281,并且發現與其他Abs(例如,單克隆SATBA4B10和pAbs)相比更成功。在LD測定中使用時,可以在所有主要的全自動IHC平臺上獲得EP281的優異結果,特別是當在堿性緩沖液和3步檢測系統中與HIER一起應用時。EP281的LD測試和RTU提供了類似的性能。?

圖12.基因科技免疫組化測評結果圖:SATB2(GT2294) 結腸腺癌

圖13.基因科技免疫組化測評結果圖:SATB2(GT2294) 直腸乙狀結腸神經內分泌腫瘤
DES
370個實驗室參與,合格率為69%(獲得優異結果的比例為41%)。?

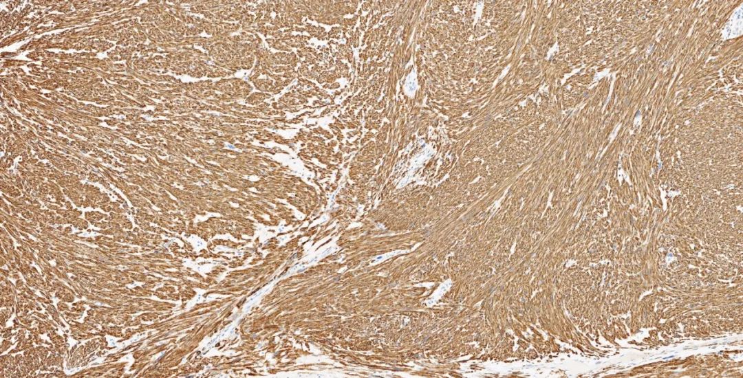
圖14基因科技免疫組化測評結果圖:.DES(GT2252) 闌尾

圖15.基因科技免疫組化測評結果圖:.DES(GT2252) 平滑肌肉瘤
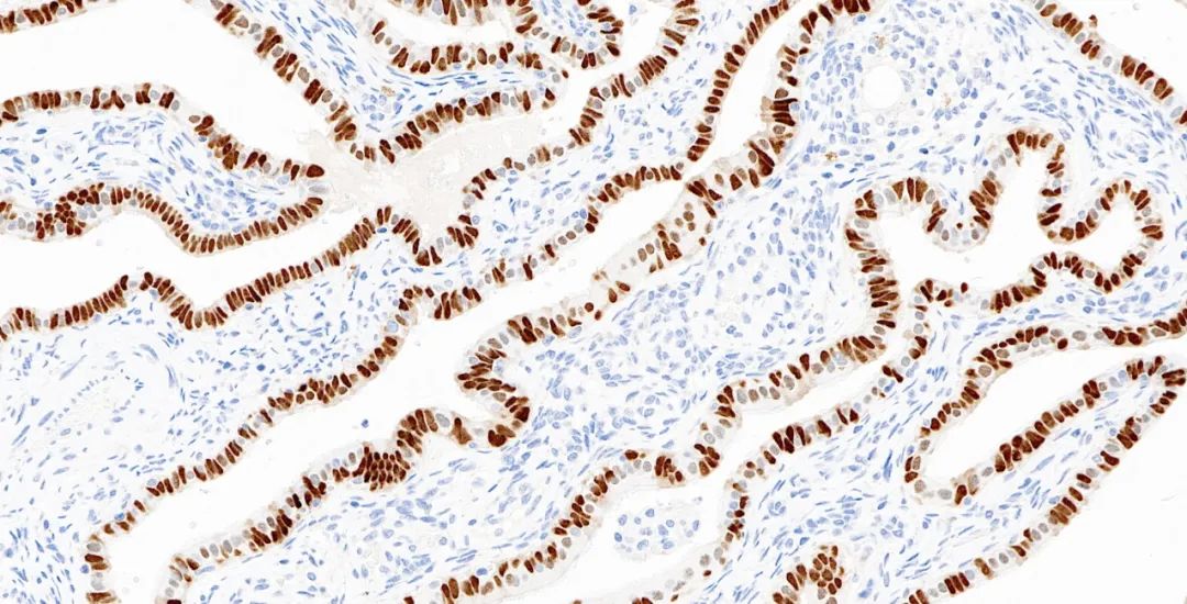
PAX8
337個實驗室參與,合格率為52%(獲得優異結果的比例為27%)。通過率現在從2019年第56屆的37%的低水平略有提高。廣泛使用的單克隆抗體克隆MRQ-50的性能較差,特別是在Ventana BenchMark和Dako Omnis平臺上,分析靈敏度太低,同時它還對B細胞中PAX5等其他PAX亞型產生交叉反應。

圖16. 基因科技免疫組化測評結果圖:PAX8(GT2102) 輸卵管

圖17. 基因科技免疫組化測評結果圖:PAX8(GT2102) 腎透明細胞癌(RCC)
產品信息

