產品中心
Products
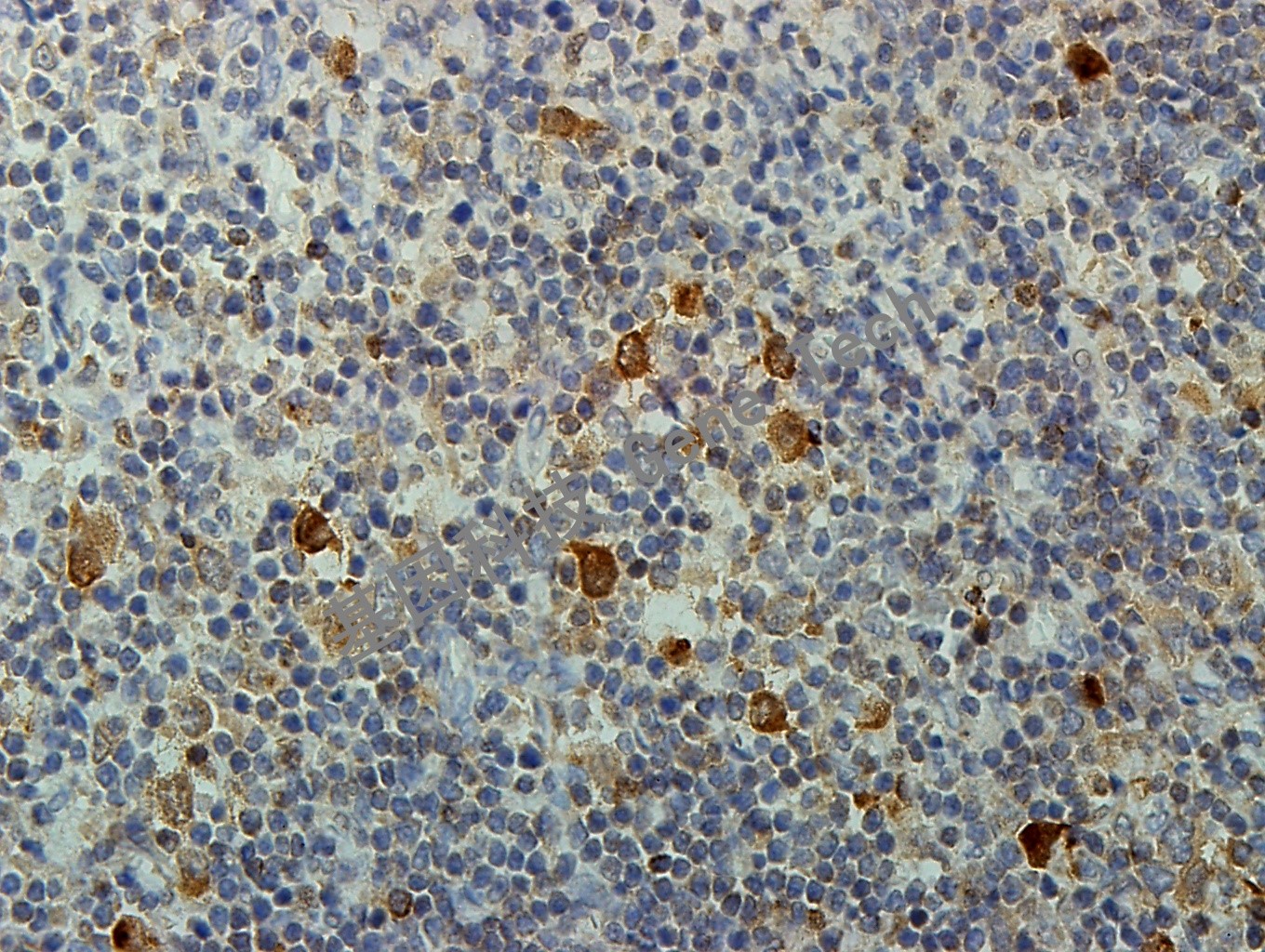
Bax 抗體 鼠抗人 Bax
瀏覽次數:1662 發布時間:2019-12-12
| 滬閔械備20180117號 | ||
| 克隆號:2D2 | 陽性對照:霍奇金淋巴瘤 | 陽性部位:細胞膜/細胞漿 |
| 預處理:高pH熱修復 | 適用:石蠟切片/冰凍切片 | 顯色系統:GTvisionTM |
| 簡介:Bcl-2、Bax 和 Bcl-X 同屬于一個調節細胞凋亡的蛋白家族。不同于 Bcl-2α 和 Bcl-XL 蛋白,Bax 蛋白高表達會加速細胞的程序性死亡(凋亡)。 | ||
![]() | ||
霍奇金淋巴瘤石蠟切片,用 Bax(GT2230)染色,細胞膜/細胞漿陽性,DAB 顯色。(40×) | ||
| 貨號 | GT223002 | GT223007 | GT223029 |
| 規格 | 2.0ml | 7.0ml | 0.2ml濃縮液 |


