產品中心
Products
FH 鼠抗人 FH?抗體試劑(免疫組織化學法)
瀏覽次數:1776 發布時間:2019-12-13
| 滬閔械備20220017號 | ||
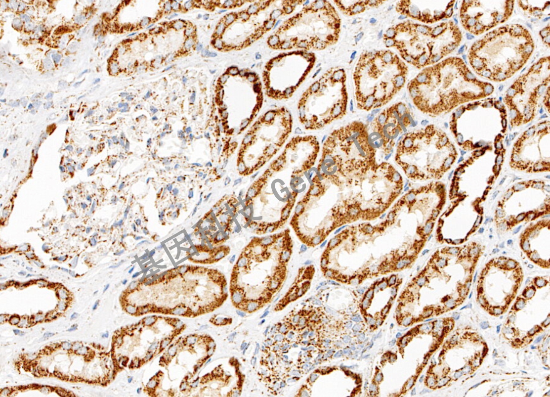
| 克隆號:J-13 | 種屬:鼠 | 適用染色系統:GTvisionTM |
| 預處理:高pH熱修復 | 陽性部位:細胞漿 | 陽性對照:腎癌 |
| 簡介:FH(延胡索酸水合酶)是參與三羧酸循環的一個關鍵酶,在細胞內能夠催化延胡索酸轉變成L-蘋果酸。遺傳性平滑肌瘤病及腎細胞癌(hereditary leiomyomatosis and renal cell cancer,HLRCC)綜合征患者是FH編碼基因發生突變所致,同時該患者也有罹患皮膚多發性平滑肌瘤和子宮平滑肌瘤的風險。HLRCC相關腎細胞癌通常就診時分期高,具侵襲性,臨床預后差。 | ||
![]() | ||
| 腎癌石蠟切片,用 FH(GT2444)染色,細胞漿陽性,DAB 顯色。 | ||
| 貨號 | GT244402 | GT244407 | GT244429 |
| 規格 | 2.0ml | 7.0ml | 0.2ml濃縮液 |


