產品中心
Products
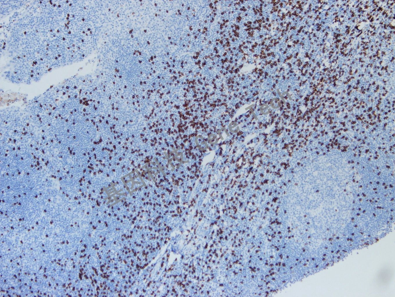
CD8 抗體 兔抗人 CD8
瀏覽次數:2511 發布時間:2019-12-14
| 滬閔械備20180118號 | ||
| 克隆號:SP16 | 陽性對照:扁桃體/淋巴結 | 陽性部位:細胞膜 |
| 預處理:高pH熱修復 | 適用:石蠟切片/冰凍切片 | 顯色系統:GTvisionTM |
| 簡介:CD8 分子是存在于抑制//細胞毒性T 細胞表面的32kDa 的糖蛋白,為MHC- Ⅰ類分子受體。用于標記抑制/ 細胞毒性T 細胞及NK 細胞,也可用于前驅T 淋巴母細胞白血病或淋巴瘤的標記。與CD4 聯用,計算CD4/CD8 比值,對于某些疾病的診斷、治療及預后都有一定意義。 | ||
![]() | ||
| 扁桃體石蠟切片,用 CD8(GT2112)染色,細胞膜陽性,DAB 顯色。 | ||
| 貨號 | GT211202 | GT211204 | GT211207 | GT211229 |
| 規格 | 2.0ml | 4.0ml | 7.0ml | 0.2ml濃縮液 |


