產品中心
Products
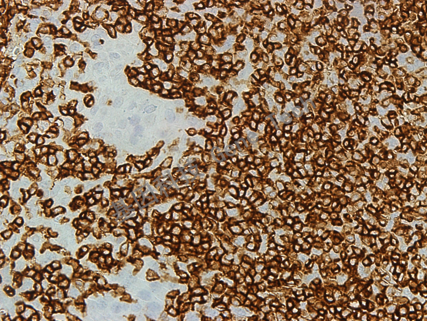
CD45R 抗體 鼠抗人 CD45RB
瀏覽次數:1371 發布時間:2019-12-14
| 滬閔械備20180271號 | ||
| 克隆號:PD7/26 | 陽性對照:扁桃體 | 陽性部位:細胞膜 |
| 預處理:高pH熱修復 | 適用:石蠟切片/冰凍切片 | 顯色系統:GTvisionTM |
| 簡介:人淋巴細胞表面的CD45 分子因其剪切形式不同有5 中蛋白形式依次為:CD45RO、RB、RA、RBC 和RABC,其分子量(不計糖鏈)分別是180、190、195、205 和220kDa。其中CD45RB 表達在B 細胞、某些T 細胞亞群、單核細胞、巨噬細胞中,粒細胞中表達較弱。CD45 抗體PD7/26 克隆是出現于上世紀80 年代初經典克隆, 能夠與5 種CD45 蛋白的3 種類型 (分子量為 190,205 和220 kDa)結合。其提示意義基本同CD45,但在Langerhan’s 細胞與小部分T 細胞中不表達。 | ||
![]() | ||
| 扁桃體石蠟切片,用 CD45RB(GT2219)染色,細胞膜陽性,DAB 顯色。(40X) | ||
| 貨號 | GT221902 | GT221907 | GT221929 |
| 規格 | 2.0ml | 7.0ml | 0.2ml濃縮液 |


