產品中心
Products
鈣黏附蛋白17(Cadherin17)抗體 鼠抗人 CDH17
瀏覽次數:1440 發布時間:2019-12-14
| 滬閔械備20200003號 | ||
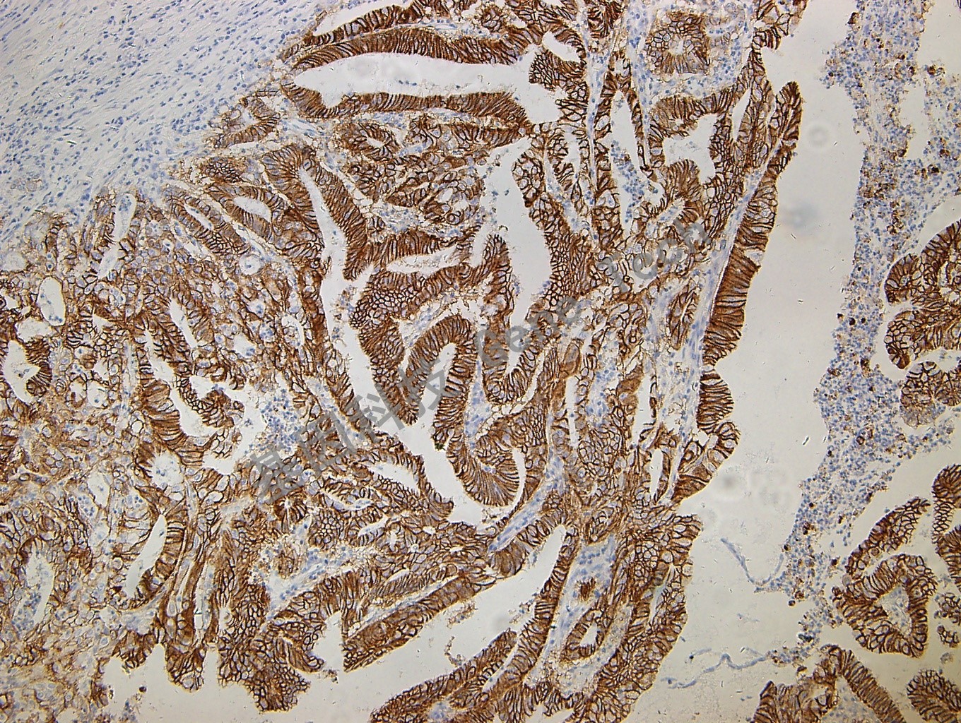
| 克隆號:SDM4 | 陽性對照:結腸癌 | 陽性部位:細胞漿 |
| 預處理:高pH熱修復 | 適用:石蠟切片/冰凍切片 | 顯色系統:GTvisionTM |
| 簡介:肝腸- 鈣粘連蛋白(CDH17) 是在小鼠體內發現的一種表達于肝臟和小腸的新型鈣粘連蛋白,在細胞粘附、細胞識別、組織器官的發育和形態的維持等方面發揮重要作用。研究發現其在多種惡性腫瘤中有高表達,是一種與腫瘤侵襲及轉移密切相關的蛋白。目前,CDH17 可作為消化系統腺癌的診斷標記物。 | ||
![]() | ||
| 結腸癌石蠟切片,用 Cadherin 17(GT2208)染色,細胞漿陽性,DAB 顯色。 | ||
| 貨號 | GT220802 | GT220807 | GT220829 |
| 規格 | 2.0ml | 7.0ml | 0.2ml濃縮液 |


