產品中心
Products
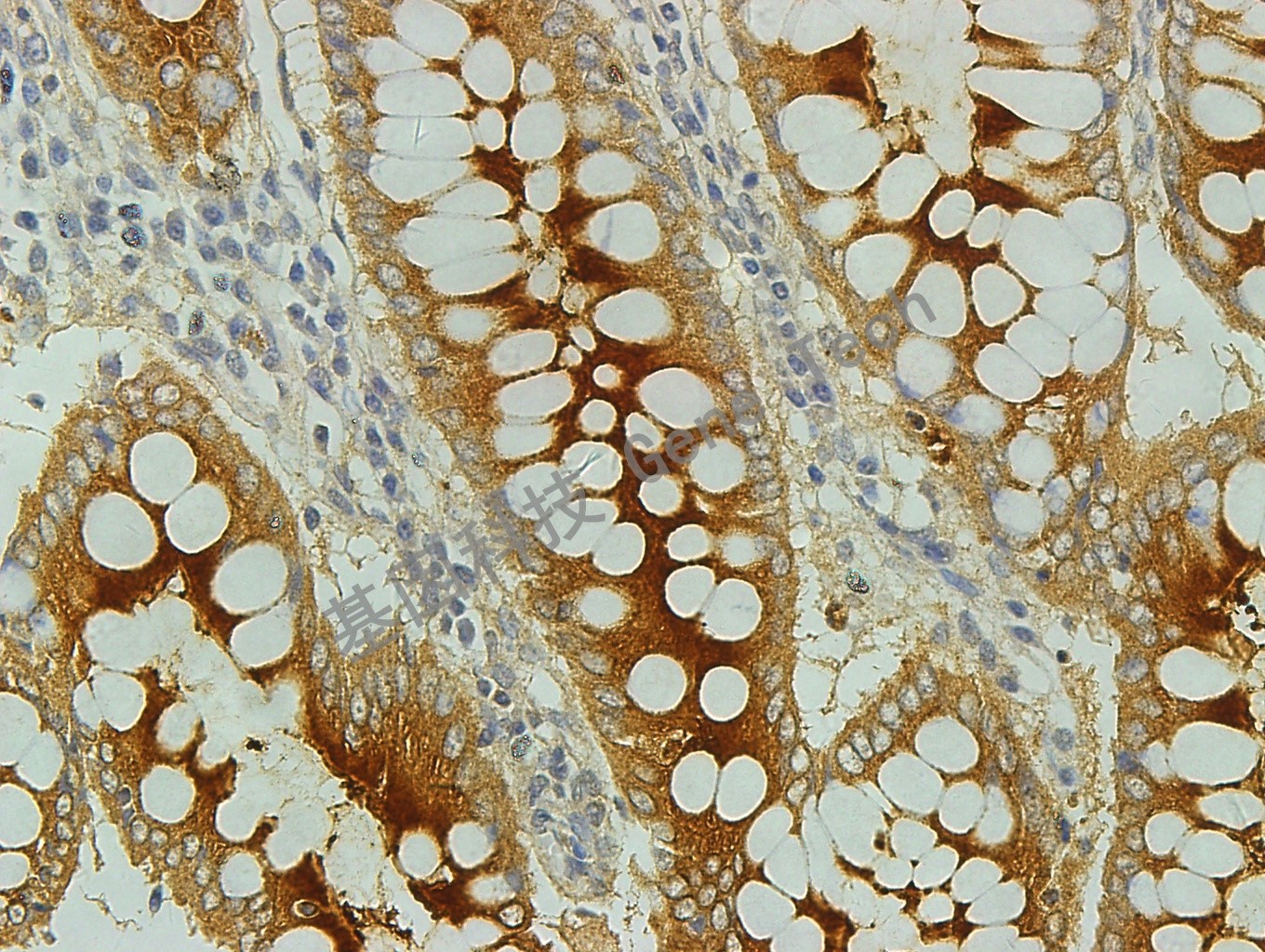
CEA 抗體 鼠抗人 癌胚抗原(COL-1)
瀏覽次數:1409 發布時間:2019-12-14
| 滬閔械備20180059號 | ||
| 克隆號:COL-1 | 陽性對照:結腸癌 | 陽性部位:細胞漿/腔膜 |
| 預處理:高pH熱修復 | 適用:石蠟切片/冰凍切片 | 顯色系統:GTvisionTM |
| 簡介:CEA 主要存在于胎兒消化道上皮組織,而在正常成人上皮組織和良性腫瘤中僅有少量表達,但在部分惡性腫瘤中高表達,如結腸癌、肺癌、胃癌、肝癌和胰腺癌等,并且不受腫瘤分化程度的影響。在消化道腫瘤中,CEA 表達分為三型:胞膜或腔面型、胞漿型和胞漿間質混合型。其陽性表達類型與預后及轉移相關,前者預后好,后二者預后差,易轉移。 | ||
![]() | ||
| 結腸癌石蠟切片,用 CEA(GT2108)染色,細胞漿陽性,DAB 顯色。(40×) | ||
| 貨號 | GT210802 | GT210804 | GT210807 | GT210829 |
| 規格 | 2.0ml | 4.0ml | 7.0ml | 0.2ml濃縮液 |


