產品中心
Products
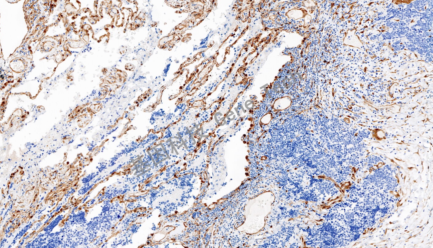
YAP1 兔抗人 YAP1 抗體試劑(免疫組織化學法)
瀏覽次數:1310 發布時間:2023-06-19
| 滬閔械備20230504號 | ||
| 克隆號:GR513 | 種屬:兔 | 適用染色系統:GTvisionTM |
| 預處理:高pH熱修復 | 陽性部位:細胞漿/細胞核 | 陽性部位:小細胞肺癌 |
| 簡介:YAP1(Yes associated protein 1)是一種重要的信號傳導分子,屬于Hippo信號通路的核心成員,通過核轉位和結合特定的轉錄因子來調控細胞增殖、凋亡和干細胞自我更新等生物學過程。YAP1的異常表達與多種腫瘤的發生和發展密切相關,如肝癌、胰腺癌、肺癌等,可能成為癌癥治療的潛在靶點。 | ||
![]() | ||
| 小細胞肺癌石蠟切片,用 YAP1(GT2540)染色,細胞漿/細胞核陽性,DAB 顯色。 | ||
| 貨號 | GT254002 |
| 規格 | 2.0ml |


