產品中心
Products
FHIT 兔抗人 FHIT 抗體試劑(免疫組織化學法)
瀏覽次數:1683 發布時間:2024-01-10
| 滬閔械備20230017號 | ||
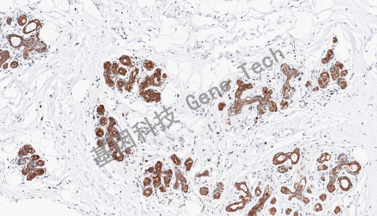
| 克隆號:GR523 | 種屬:兔 | 適用染色系統:GTvisionTM |
| 預處理:高pH熱修復 | 陽性部位:細胞漿/細胞核 | 陽性對照:乳腺 |
| 簡介:脆性組氨酸三聯體(fragile histidine triad,FHIT)基因是定位于3p14.2的一個腫瘤抑制基因,在人體中廣泛存在。其蛋白產物FHIT參與信號轉導、細胞周期和細胞凋亡等多個環節的調控,在許多腫瘤組織及腫瘤細胞系中表現出不同程度的表達缺失或下降,如乳腺癌、肺癌、胃癌等。因此,FHIT在腫瘤的早期診斷、治療和預后評估等方面具有臨床意義。 | ||
![]() | ||
| 乳腺石蠟切片,用 FHIT(GT2477)染色,細胞漿/細胞核陽性,DAB 顯色。 | ||
| 貨號 | GT247702 | GT247707 |
| 規格 | 2.0ml | 7.0ml |


