產品中心
Products
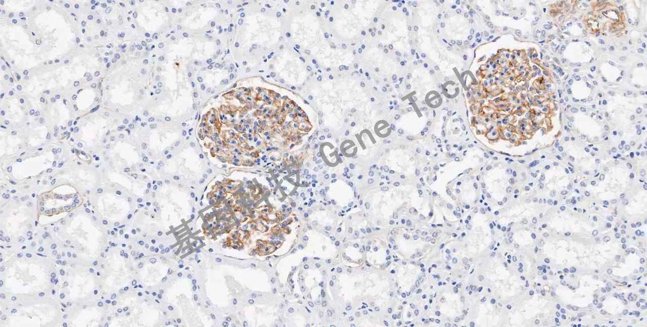
THSD7A 兔抗人 THSD7A 抗體試劑(免疫組織化學法)
瀏覽次數:1809 發布時間:2024-03-15
| 滬閔械備20240019號 | ||
| 克隆號:1F15-L1 | 種屬:兔 | 適用染色系統:GTvisionTM |
| 預處理:高pH熱修復 | 陽性部位:細胞膜 | 陽性對照:膜性腎病 |
| 簡介:Ⅰ型血小板反應蛋白7A域(THSD7A)是一種約250kDa的I型膜蛋白,主要存在于內皮細胞,在發育過程中影響內皮遷移、促進血管新生和重塑,并在肌動蛋白細胞骨架重排中起作用。近些年的研究表明,THSD7A也是特發性膜性腎病靶抗原之一,沉積于相關膜性腎病患者中的足細胞中,可與PLA2R共同用于特發性膜性腎病的診斷。 | ||
![]() | ||
| 腎石蠟切片,用 THSD7A(GT2587)染色,細胞膜陽性,DAB 顯色。 | ||
| 貨號 | GT258702 | GT258707 |
| 規格 | 2.0ml | 7.0ml |


