產品中心
Products
JAM-A 兔抗人 連接黏附分子A(JAM-A)抗體試劑(免疫組織化學法)
瀏覽次數:1133 發布時間:2024-05-22
| 待備案 | ||
| 克隆號:E8D2N | 種屬:兔 | 適用染色系統:GTvisionTM |
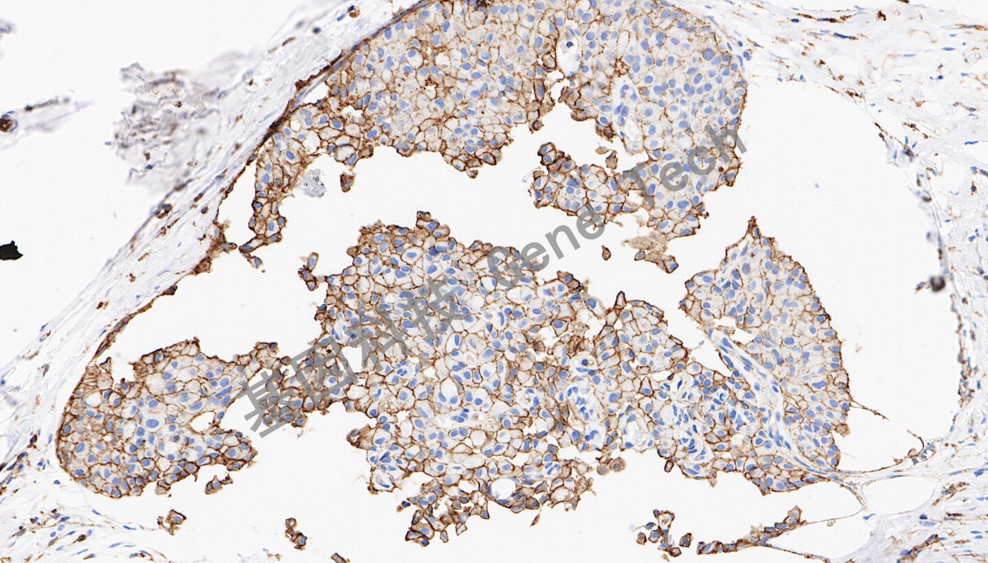
| 預處理:高pH熱修復 | 陽性部位:細胞膜 | 陽性對照:乳腺癌 |
| 簡介:連接粘附分子A(JAM-A)也被稱為JAM-1,是位于上皮細胞和內皮細胞間緊密連接處的一種跨膜糖蛋白,屬于免疫球蛋白超家族。JAM-A調節多種細胞過程,包括緊密連接組裝、上皮-間充質轉化(EMT)、白細胞遷移、病毒結合、血小板活化和血管生成。JAM-A通過緊密連接的啟動引起同型細胞間的黏附,與腫瘤黏附、浸潤和轉移密切相關。研究表明,JAM-A在乳腺癌患者腫瘤標本呈異常高表達,并提示預后不良。 | ||
![]() | ||
| 乳腺癌石蠟切片,用 JAM-A (GT2598)染色,細胞膜陽性,DAB 顯色。 | ||
| 貨號 | GT259802 |
| 規格 | 2.0ml |


